ホワイトニング
-
ホワイトニング
今まで多くの方が当院を来院され、ホワイトニング治療を通し多くの笑顔と出会うことができました。
これからも更に多くの笑顔と出会うため、最新の知見を積極的に取り入れ精進して参ります。 歯の白さは、あなたの素敵な笑顔をアシストするキーポイントです。
笑顔をより輝かせたい方、結婚式や就職活動など、今後大切なご予定がある方など興味のある方に‥‥。- ホワイトニング
-
ホワイトニングは広義に「歯を白くすること」でセラミッククラウンやラミネートベニアなど補綴的方法からクリーニングなども含まれます。このコーナーではもちろん、狭義意味でのホワイトニング「歯の漂白=ブリーチング」についての特集です。
現在、ホワイトニングの方法としてオフィスホワイトニング、ホームホワイトニング、ウォーキングブリーチングの3種類があります。
オフィスホワイトニングは、歯科医院で行うホワイトニングで強力な薬液を歯面に塗り、光を照射して化学反応を促進させ漂白します。ホームホワイトニングは名の通りご自宅でご自身で行って頂くホワイトニングです。患者さん専用のマウストレーに薬液を注入し、歯に装着していただくだけです。ウォーキングブリーチングとは、神経を取った歯だけに行えます。これは歯の内部に薬液を入れ、内側から歯を白くしていきます。
当院は、患者さんにとって一番綺麗に仕上がり、持続効果が期待できるホームホワイトニングをお勧めしております。しかし、漂白後の衣類は使っていれば、やがて黄ばんできます。ホワイトニングもこれと同じで、一旦希望の白さを得てからが出発と考えて下さい。白さを長持ちさせるには、チェックアップとタッチアップホワイトニングが必要です。
- ホワイトニングの仕組み
-
ホワイトニングの種類にかかわらず、薬液の化学反応で漂白させるという仕組みはすべて同じです。しかし、薬液の濃度や種類は若干異なります。
オフィスホワイトニングとウォーキングブリーチングは高濃度の過酸化水素を使用し、ホームホワイトニングは比較的マイルドな過酸化尿素を使用します。その分過酸化水素は過酸化尿素に比べ漂白効果が高くなりますが、歯面への刺激も強くなってしまいます。
仕組みとして、これらが化学反応を起こし分解すると、歯の漂白効果を有するヒドロキシラジカルやヒドロペムオキシラジカルなどフリーラジカルが発生します。フリーラジカルとは、2つの対をなしている電子がペアを持たず、離れて存在しているという不安定な状態にある分子のことです。不安定な状態のため、高い反応性を有している特徴があります。
- ホワイトニングの流れ
-
-
-
01
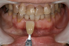
歯石除去と写真撮影
-
歯の色を見るシェードを使用して、開始当時の歯の色を写真と共に記録します。また、歯石が付いた状態では薬液の浸透が悪くホワイトニングの効果が減ってしまうため、歯の掃除を行います。

-
-
-
02
マウストレーの作成
-
患者さん専用のカスタムトレーを作成するため、歯型を取り作ります。

-
-
-
03
PMTC
-
前回の歯石除去よりも時間をかけて再度歯の汚れを取り除きます。

-
-
-
04
自宅でのホワイトニング
-
PMTCの後にホワイトニングの使用方法などの説明とトレーの調整などを行います。トレーなどに不具合がない場合、ご自宅に持ち帰って頂き、患者さん本人にホワイトニングを行って頂きます。使用状況のチェックや歯の痛みなどのトラブルへの対処のため、この間も3日に1度程度の来院をお願いしております。

-
-
-
05
ホワイトニング完了
-
2週間でホワイトニングは終了致します。開始時に撮影した写真やシェードと比べていただき歯の白さを実感していただけると思います。もう少し白くしたいと感じられたら追加で薬液を購入して頂くことができます。
ホワイトニング終了後は月に1度、歯の白さを持続させるためにメンテナンスの来院をお勧めしています。
-
-
適応症と非適応症
ホワイトニングの効果は個人差があり、効果がでにくい方も見えます。また、適応症に該当している方でも効果のでにくい場合があります。
- 適応症
-
- 加齢による歯の黄ばみ
- 嗜好物や飲食物による着色
- フッ素沈着
- ファインマンの分類第1、第2度の患者

- 非適応症
-
- 知覚過敏が生じ、痛みのため治療の継続が困難と思われる場合
- ホワイトニング施行前に装着した補綴物とシェードの不調和が生じる可能性がある場合
- 矯正装置を入れて治療中、あるいはリテーナー装着期間中の患者
- ポスト部分のメタルコアあるいはイオン導入法による金属イオンによる着色
- エナメル質・象牙質形成不全症による着色
- 妊婦・授乳中の女性
- 無カタラーゼ症候群の患者
- ファインマンの分類第3、第4度の患者

※ファインマンの分類
1度 ライトイエロー ホワイトニング容易、予後も良好
2度 ライトグレー ホワイトニング可能、予後はやや良好
3度 ダークイエローまたはダークグレー ホワイトニング困難、予後不良
4度 色に関係なくかなり濃いカラー ラミネートベニアやオールセラミッククラウンの適応
メリット/ディメリット
当院の採用しているホームホワイトニングのメリット/ディメリット(リスク)
- メリット
-
- 歯を削らなくても色の面で審美性が回復できる
- 低濃度の薬剤によって安全かつ歯の白さが比較的長く持続する
- 自分の好きな時に自宅にてホワイトニングできる
- ムラがなく綺麗に仕上がる
- ホワイトニングの中では比較的費用が安く抑えられる
- ディメリット(リスク)
-
- 薬剤が低濃度であるため効果が出るまで時間がかかり、仕上がりまで2週間程度の時間が必要である
- 知覚過敏症が一時的に出現する場合がある
- 保険適用外
- 無カタラーゼ症などの禁忌症や適応できない症例がある(詳しくは本文参照)
- 料金
- 一式 ¥50,000
Q&A
- ホワイトニング中はなんでも食べられますか?
-
イチゴ、ブルーベリー、トマトソース、カレーなどの色の濃い食べ物、コーヒー、紅茶、 ワイン、オレンジジュースなどの色の濃い飲み物や炭酸飲料は避けて下さい。
飲食物ではありませんが、タバコも着色の原因となりますので禁煙をお勧めします。
また、ホワイトニング後は歯面が不安定な状態のため再着色しやすいので、終わってから数日間は色の濃い飲食物は避けることをお勧めします。
- ホームホワイトニングは痛いと聞いたのですが?
- ホワイトニング開始時は薬液が滲みて痛む場合もありますが、序々に慣れますので、最初は装着時間を短くして使ったり、朝と夜の2回にわけて装着したりするようにしてください。
- ホワイトニングには個人差があると聞きますが、開始前にそれはわかりますか?
-
残念ながら、行ってみないとわからないのが現状です。
終了時にお好みの白さにならなかった場合でも薬液を追加購入して頂ければ、お好みの白さになるまでホワイトニングができます。
- なぜ3日に1度来院しないといけないのですか?
-
ホームホワイトニングは来院回数が少なくても良いという意見もありますが、ご自宅で行うため使用状況や歯の状態などを私たちは見ることができません。
なにか間違った使用方法や歯に異常が起こっていないかなどをチェックさせていただきたいため、お手数ですが、定期的な来院をお願いしております。
- ホワイトニングが終わってもなぜメンテナンスで来院しないとだめなのですか?
- ホワイトニングで白くしても、食べ物などで徐々に再着色しますので、定期的に来院して頂くことで、色の戻りを緩やかにすることができます。
- 虫歯や歯の被せ物があってもホワイトニングはできますか?
-
残念ながら大きい虫歯の場合は、虫歯の治療を行ってからでないとホワイトニングはできません。歯の被せ物は、ホワイトニングを行っても白くなることはありません。
ホワイトニング自体はご利用頂けますが、ホワイトニング後に被せ物の色が目立つようになる可能性があります。ホワイトニング後に歯の白さに合わせて被せ物を再処理することをお勧めします。
-
- クリニックについて
- ごあいさつ
- クリニックの設備
- CTイメージングセクション
- 院内感染防止策
~インフェクションコントロール~
- 採用について
- 就活中の衛生士さんへ
- 先輩の声
- 募集要項








